首页
医院概况
党群建设
新闻动态
专家介绍
市重点专科
科室导航
就医指南
脑科学中心
创三甲专栏
人才招聘
联系我们
首页 > 新闻动态 > 工作动态 > 内容
【点赞】“不开刀”,微创恢复快!我院泌尿外科为年近九旬患者行经皮肾镜钬激光碎石术,解除顽疾
2020-10-16  阅读:3904

      近日,我院泌尿外科行经皮肾镜钬激光碎石术为一名年近9旬肾、输尿管结石患者成功解除顽疾,“不开刀”、痛苦少、恢复快等手术特点让老奶奶及家属连连拍手称绝。

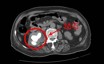
      一位87岁老奶奶因反复右腰腹部疼痛到我院泌尿外科就诊,经查患者疼痛1年多伴肾积脓、感染且有多次置双J管史,泌尿外科副主任吴妙锋结合相关检查结果诊断该患者为右肾、右输尿管上段结石并右肾中度积液需尽快手术治疗。



     

术前CT



      吴妙锋医生与患者家属做了充分告知并征得同意后,完善术前检查,带领泌尿外科团队在麻醉科辅助腰硬麻醉下行经皮肾镜钬激光碎石术,为患者清除位于右肾、输尿管上段多粒大小约2.0-4.0cm结石历时2小时余,手术顺利完成。术后第4天拔除肾造瘘管,术后第5天拔除尿管,康复出院。


术中取出的结石


术后KUB


医患合影



      据泌尿外科副主任吴妙锋介绍,泌尿系结石是泌尿外科常见病,经皮肾镜钬激光碎石取石术安全性高、适用性广、患者依从性好,随着微创泌尿外科的发展,经皮肾镜钬激光碎石术已成为治疗肾及输尿管上段结石的重要手段,具有损伤小、痛苦轻、碎石彻底、恢复快等优点。


钬激光碎石

      我院自2012年开展钬激光碎石术以来,历经近十年经验沉淀,技术成熟,已搭建起良好的治疗和康复平台,我院泌尿外科将不忘初心,砥砺前行,用最精湛的技术,最贴心的服务,为广大泌尿系患者创造福音,力争在泌尿微创治疗水平上再上新台阶。



Copyright@2019-2025  惠东县人民医院 版权所有


地址:惠东县平山街道环城南路高桥水

客户服务部:0752-8999666     医院邮箱:hdph@hdph.com


360网站安全检测平台