首页
医院概况
党群建设
新闻动态
专家介绍
市重点专科
科室导航
就医指南
脑科学中心
创三甲专栏
人才招聘
联系我们
首页 > 新闻动态 > 工作动态 > 内容
急急急!颅内动脉瘤破裂出血致呼吸停止,我院神经外科团队成功救治危重患者
2020-10-31  阅读:4551

      “谢谢廖驭国主任你的救命之恩,是你们为我创造了生命的奇迹。”

——患者言


      近日,我院神经外科团队成功救治一名颅内动脉瘤破裂出血致呼吸停止患者,目前患者生命体征平稳,已康复出院。该病例的成功救治,标志着我院卒中中心绿色通道的成熟打造,介入科拥有处理高难度介入手术的能力。彰显我院综合实力的不断提高。



深夜“爆血管”,上演死神来袭

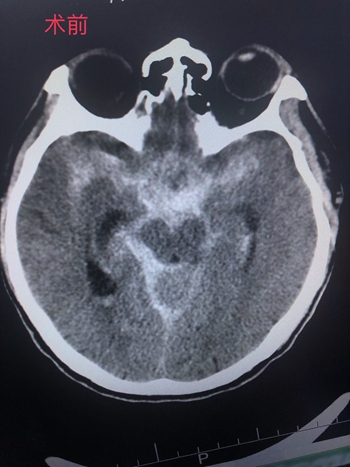
      某日凌晨,外院紧急转送一名神志不清患者到我院急诊科,经体查患者入院时神志嗜睡,颈抵抗明显,伴有脑膜刺激征,外院CT提示蛛网膜下腔出血......首诊医生林雨杭研判,患者高度疑似颅内动脉瘤破裂出血,“时间就是大脑”情况十分紧急,在跟患者家属解释病人病情危重、急需手术等情况的同时启动卒中中心绿色通道,直达手术室。


     

(术前CT)                                                                  (术后CT)


“沙场老将”力挽狂澜

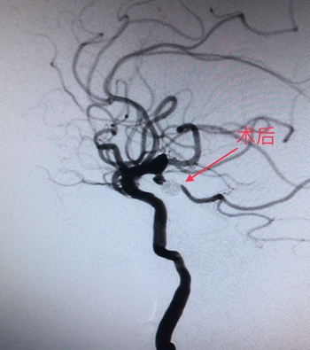
      从入院到入手术室,用时不到30分钟。经得患者家属同意,在麻醉科医生精准麻醉和严密检测下,手术由神经外科主任、神经介入科主任廖驭国作主刀,在神经外科李海堃副主任医师的配合下为患者进行颅内动脉瘤栓塞术,术中造影见患者血管迂曲成角,使导丝的通过造成困难和挑战,手术难度极高。廖主任凭借“久经沙场”的经验,以“绣花”功夫,最终完美栓塞破裂动脉瘤,顺利完成手术。


      

(术前DSA图)                                                        (术后DSA图)


一波三折并发症,沉着应对显水平

      术后患者返回病房,以为大石已落地,殊不知,死神再度悄悄来袭,患者返回病房后突然出现深昏迷,伴四肢抽搐,随后出现自主呼吸停止双侧瞳孔散大......患者这一反常症状触动了廖主任的神经:不好,病人突发并发症,火速抢救,快快快”这紧急命令刺破了深夜的宁静,所有在场医务人员的心再次悬了起来......

      在廖驭国主任的带领下,与值班医生、护士立即展开救治,对患者进行气管插管及呼吸机辅助呼吸,急诊床边行脑室外引流术等积极抢救,最终患者自主呼吸逐渐恢复,神志好转,双侧瞳孔缩小至正常。后来,经廖主任解释得知患者因脑血管痉挛导致急性颅内压增高,引起枕骨大孔疝,该病为神经外科最为危重的并发症,死亡率极高,但只要有一线希望,我们就要以百倍努力换得患者安康。

      术后2天,患者神志完全清醒,停用呼吸机及拔除气管插管,经过后续治疗,患者无遗留任何后遗症,康复出院。


     


仁爱精术,不忘医者初心

救死扶伤,牢记健康使命


      与其说是医护创造了奇迹,小编却认为是练兵千日,用在一时,没有金刚钻哪敢揽瓷活。我院卒中中心的建设和高水平卒中救治团队的组建,为卒中患者的及时救治、康复,提供了关键的支持和保障。该危重病例的成功救治体现了急诊科、神经外科、医学影像科、麻醉科与重症医学科等多学科联合救治水平,形成一体化的诊治模式,多学科探讨,使患者获得更科学、更全面、更优化的诊疗方案。此例手术的成功,标志着我院卒中中心、神经外科在高难度、高风险手术方面成为区域内脑血管疾病治疗中的新标杆。



Copyright@2019-2025  惠东县人民医院 版权所有


地址:惠东县平山街道环城南路高桥水

客户服务部:0752-8999666     医院邮箱:hdph@hdph.com


360网站安全检测平台