首页
医院概况
党群建设
新闻动态
专家介绍
市重点专科
科室导航
就医指南
脑科学中心
创三甲专栏
人才招聘
联系我们
首页 > 新闻动态 > 工作动态 > 内容
【点赞】惠州首例!我院神经介入团队为危重症患者续写更多“春天的故事”
2020-11-27  阅读:5066


案例一:惠州首例!颅内动脉瘤“Y”型支架辅助弹簧圈栓塞术

近日我院神经外科收治一名右侧大脑中动脉多发微小宽颈动脉瘤患者,在完善相关术前检查和经家属同意后,神经外科主任、神经介入中心主任、主任医师廖驭国带领副主任医师李海堃成功为患者施行全麻下颅内动脉瘤“Y”型支架辅助弹簧圈栓塞术


    

(术前影像)                          (术后影像)


据了解,患者多处血管迂曲成角(髂动脉、无名动脉、右侧颈内动脉),建立手术通道难度极大,廖驭国主任凭借多年丰富的介入操作经验,运用多种介入技术(长鞘技术、中间导管技术)成功建立手术通道,并成功为患者实施“Y”型支架辅助弹簧圈栓塞术历时3个小时顺利完成手术该部位“Y”型支架技术为惠州首例填补了我院目前在此项技术上的空白

病例二:挽救动静脉畸形破裂出血的14岁儿童


近日,廖驭国团队成功抢救一名动静脉畸形破裂出血的14岁儿童。该患者经外院紧急转送至我院,入院时神志嗜睡,外院CT提示左侧颞顶叶急性脑出血。神经外科首诊医生廖军研判,患者高度疑似颅内动静脉畸形破裂出血,“时间就是大脑”情况十分紧急,急需手术治疗,马上汇报神经外科主任、神经介入中心主任廖驭国同时向家属解释病情并经得同意后,在麻醉科医生精准麻醉和严密检测下,廖驭国带领神经外科李海堃副主任医师为患者进行颅内动静脉畸形栓塞术,术中完美栓塞畸形团,顺利完成手术。


  

(术前造影图)                     (术后造影图)

     

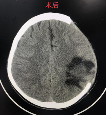
(术前脑部CT)                       (术后脑部CT)  


术后患者病情突然变化,出现昏迷,双侧瞳孔散大......廖驭国主任凭着多年的经验判断患者出现了“正常灌注压突破综合征”(该病为脑动静脉畸形栓塞术后最为危重的并发症),有急诊开颅手术指征,最后由神经外科周康胜副主任成功为患者实施显微镜下血肿清除+去骨瓣减压+硬脑膜修补术,术后患者神志好转,双侧瞳孔缩小至正常,术后2天,患者神志完全清醒,停用呼吸机及拔除气管插管,经过后续治疗,患者能简单言语及对答,右侧肢体肌力基本恢复,能下地缓慢行走,已康复出院。


该危重病例的成功救治体现了我院神经外科对小儿脑血管病危重症救治的综合实力,标志着我院神经外科在高难度、高风险复合手术(介入+显微开颅)方面成为区域内脑血管疾病治疗的标杆。




感恩奋进,不负重托!自我院今年7月引进神经介入学科带头人廖驭国,迅速组建起一支技术过硬的神经介入团队,神经介入专科建设得到质的突破,高难度介入手术成果立竿见影。据神经外科、神经内科提供手术数据统计:截止11月15日,短短三个余月,廖驭国团队完成介入手术共124台(神外58台,神内66台)。全脑血管造影术59台、动脉瘤弹簧圈填塞术28台、支架成形22台、机械取栓14台、血管畸形2台等高难度手术,其中属四级手术65台,三级手术59台。治疗效果良好,神经介入技术已达市内先进水平。


新征程任重道远,新使命催人奋进!

我院神经介入团队将坚定不移、奋勇向前

在新起点上,以担当、实干、创新

推动医院各项工作高质量发展

为我县神经介入危重症患者续写更多“春天的故事”


Copyright@2019-2025  惠东县人民医院 版权所有


地址:惠东县平山街道环城南路高桥水

客户服务部:0752-8999666     医院邮箱:hdph@hdph.com


360网站安全检测平台