首页
医院概况
党群建设
新闻动态
专家介绍
市重点专科
科室导航
就医指南
脑科学中心
创三甲专栏
人才招聘
联系我们
首页 > 新闻动态 > 工作动态 > 内容
【首例】在中山一院龙明教授指导下,我院完成首例经皮房间隔缺损介入封堵术治疗先心病
2022-10-18  阅读:2862


       我们的心脏虽拳头般大小,但是内部结构巧妙,就像是一套“四居室”的房子,两房间和两室间有“墙”相隔,房和室之间还有“门”,血流从来都是“一个方向”有序循环着,假如“墙上有个洞”,那么就会影响血流方向,会给人体带来严重危害。



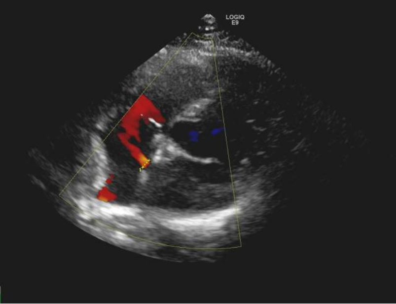
       日前,一名年近50的阿姨因最近总感觉胸闷、活动后气促等症状到我院专科门诊就诊,心血管内科刘扬主任接诊该患者,通过心脏彩超检查发现房间隔缺损大小5.5mm(继发孔型)。刘扬主任结合患者的病情,考虑患者随着年龄增长,胸闷、气促等症状会逐渐加重,此类患者常常出现心衰,严重会危急生命。为改善患者症状,防止心功能进一步损害,刘扬主任与患者充分沟通病情后,认为患者需及时手术治疗。




       心脏手术犹如“刀尖上起舞”,稍有不慎将造成严重后果,本着一切“以患者生命健康为中心”宗旨,在中山一院帮扶专家龙明教授的指导下,我院心内科、超声医学科、介入室等共同为患者制定了详细的手术方案——DSA下行房间隔缺损封堵术。

       排除手术禁忌后,征得患者同意,手术由龙明教授、刘扬主任共同开展,在患者右侧股静脉穿刺点局麻后,送入导管行右心导管检查,准确测量肺动脉压、右房压、右室压、左房压,依据房缺大小选择封堵器,在DSA下封堵器被精准输送至房间隔缺损处一次性释放成功,术中超声医学科黄碧霞主任为患者行心脏彩超显示封堵器释放成型良好,无明显分流。牵拉实验提示封堵器固定牢固,且对二尖瓣、三尖瓣及上下腔静脉均无影响。整个手术过程严谨、配合有序,直至手术完成,用时还不到1小时。



       该项新技术的突破,实现了我县县域内房间隔缺损封堵治疗的首例。标志着我院心血管内科在结构性心脏病的介入治疗上迈出了坚实的一步,同时为“大病不出县”奠定坚实基础。


科普一下



       房间隔缺损(atrial septal defect,ASD)是最常见的先天性心脏病之一,发病率居先天性心脏病之首,占成人先天性心脏病的20-30%,男女之比约1:3。在正常情况下,我们的心脏是由左右两个心房和左右两个心室组成的,左边和右边的心脏内部空间是被完全间隔开的。这样的心脏结构,能够确保那些已经被全身的细胞使用过的、血氧量较低的血液都能够流到右侧的心脏里,不与左侧的血氧量高的血液混合在一起。但是如果左右这个间隔没有完全形成,这时候心房或者心室之间将会有一个通道,右边和左边的血液就将能够被混合在一起。这将会中和血氧的含量,使得整个心肺系统变得没有那么有效率了。而且容易导致心脏血流动力学改变,长久就会影响心肺功能。




       该手术是根治常见房间隔缺损的有效办法。采用经股静脉穿刺的方法,将封堵器固定在房间隔缺损处,阻断心房分流,恢复正常血液循环途径。该手术避免了开胸,具有疗效确切、创伤小、出血量少、恢复快等优势,已成为先天性心脏病治疗的主流。






Copyright@2019-2025  惠东县人民医院 版权所有


地址:惠东县平山街道环城南路高桥水

客户服务部:0752-8999666     医院邮箱:hdph@hdph.com


360网站安全检测平台